Bilbo, 12 ani – O simplă vărsătură, un diagnostic vital și o intervenție salvatoare

Bilbo a intrat în cabinet vioi, prezentând doar un episod de vomă în ziua precedentă și inapetență, după spusele proprietarilor. Examenul clinic nu a fost cel mai remarcabil: s-a remarcat un ușor disconfort abdominal în regiunea cranială, gingii ușor congestionate și o temperatură de 39.6°C.

Fă o programare!

Investigații efectuate

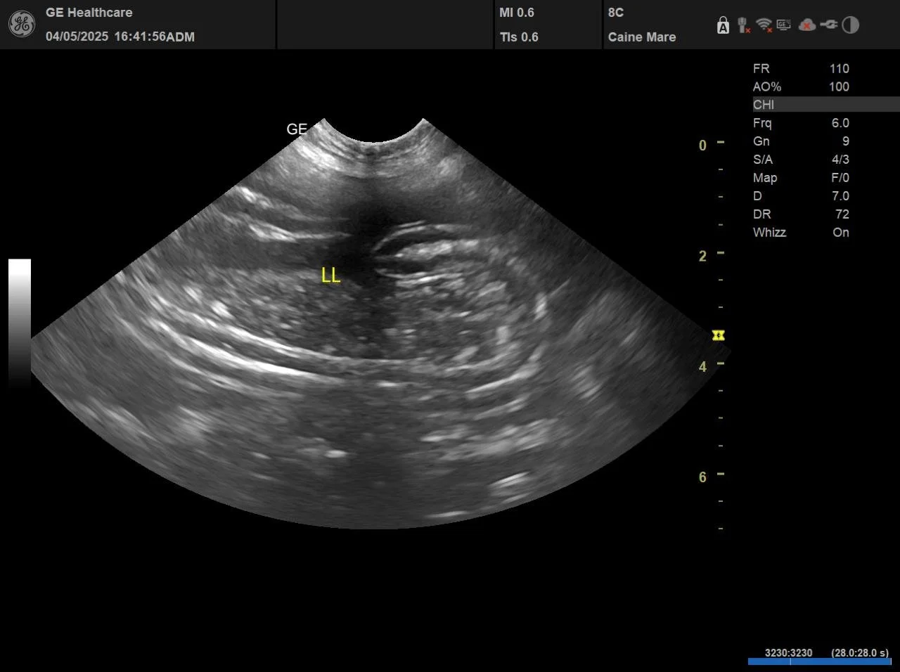
Simptomele de tip vărsături sau vărsături asociate cu diaree pot masca afecțiuni abdominale grave. În cadrul examinării inițiale, s-a efectuat ecografie abdominală POCUS, ca parte standard a protocolului de triere în cazul manifestărilor digestive.

Examinarea ecografică a indicat:

  • steatită în cadranul cranial, predominant în zona duodenului proximal;

  • o lamă fină de lichid peritoneal, puncționabilă.

Analiza lichidului peritoneal: confirmarea unei peritonite septice

Centeza ecoghidată a furnizat un lichid cu conținut celular, având un total de solide de 4 g/dl. Examinarea citologică a evidențiat prezența:

  • neutrofilelor degenerate în număr mare;

  • macrofagelor reactive;

  • celulelor mezoteliale.

Aceste constatări au susținut diagnosticul prezumtiv de peritonită, indicând necesitatea unei intervenții chirurgicale imediate.

Laparotomia – decizie rapidă și justificată

Intervenția a fost aprobată prompt de către proprietari (de asemenea cadre medicale). În timpul laparotomiei exploratorii s-au observat:

  • multiple aderențe ale omentului în regiunea duodenală;

  • un corp străin dur, cu margini rugoase, palpat în timpul mobilizării țesuturilor;

  • penetrarea peretelui intestinal în vecinătatea lobului drept pancreatic, cu margini devitalizate.

Procedura a constat în:

  • debridarea țesutului necrozat;

  • sutura primară a defectului intestinal;

  • omentalizarea zonei afectate;

  • lavaj peritoneal până la obținerea unui lichid limpede;

  • montarea unui dren de tip Jackson-Pratt pentru evacuarea controlată a secrețiilor postoperatorii.

Monitorizare postoperatorie în terapie intensivă

Pe parcursul celor 7 zile de spitalizare, echipa SpeedVet a monitorizat constant starea pacientului, urmărind atent următorii parametri:

  • electroliții serici;

  • albumina;

  • hemoleucograma la fiecare 24 de ore.

De asemenea, s-a urmărit lichidul de dren din punct de vedere cantitativ și calitativ. Obiectivele urmărite:

  • scăderea progresivă a volumului acumulat în 24 de ore;

  • clarificarea și decolorarea a lichidului acumulat;

  • absența bacteriilor la citologie;

  • scăderea numărului total de celule nucleate.

Drenul a fost îndepărtat în momentul în care volumul lichidului acumulat a scăzut sub 2 ml/kg/24h.

Hrănirea precoce și antibioterapia

Terapia antimicrobiană inițială — amoxicilină cu acid clavulanic, asociată cu enrofloxacină — s-a dovedit potrivită, lucru confirmat ulterior prin rezultatul antibiogramei. S-a identificat o tulpină hemolitică de Escherichia coli, sensibilă la schema administrată.

Pe durata internării, apetitul lui Bilbo a fost prezent, însă inconstant. Din acest motiv, s-a optat pentru montarea unui tub de alimentație enterală, deși menținerea acestuia a fost uneori dificilă. Hrănirea precoce a avut un rol esențial în susținerea recuperării, contribuind, conform datelor din literatură, la scurtarea perioadei de spitalizare cu până la 1,6 zile.

Evoluția post-spitalizare

Recuperarea lui Bilbo a decurs favorabil. Întors acasă, și-a reluat treptat activitățile obișnuite și se bucură din plin de grija și afecțiunea unei familii dedicate.

Concluzie: Nu subestima niciodată o „simplă vărsătură”

Cazul lui Bilbo subliniază cât de importantă este o evaluare atentă, chiar și atunci când simptomele par minore — cum ar fi o vărsătură izolată. La pacienții geriatrici și în special la rasele mari, investigațiile rapide, precum ecografia POCUS, pot face diferența între o conduită simptomatică și descoperirea unei afecțiuni severe care necesită intervenție imediată.

Fără un diagnostic imagistic prompt, cazul ar fi putut fi abordat conservator, cu tratament simptomatic și monitorizare acasă — o alegere care, în acest context, ar fi dus la întârzierea intervenției chirurgicale de care pacientul avea nevoie.

Previous
Previous

Geamurile rabatate – un risc major pentru pisici

Next
Next

Instrucțiuni postoperatorii pentru câini și pisici: ghid complet pentru îngrijirea acasă